"İçici değil yutucuyum" dedi !
Konya Emniyet Müdürlüğü Narkotik Suçlarla Mücadele Şube Müdürlüğü ekipleri Kökünü Kurutma Operasyonları kapsamında uyuşturucu satıcılarına yönelik mücadelesine kararlı bir şekilde devam ediyor. Ekipler Konya’da yürüttüğü çalışmalarda şehir dışından kente gelen İran uyruklu zehir tacirini yakaladı. Zehir tacirinin uyuşturucuyu ülkeye soktuğu yöntemse bu kadarına da pes dedirtti!
Narkotik ekiplerinin uyuşturucu satıcılarına yönelik operasyonları hız kesmeden devam ederken polisin kararlı mücadelesinden bunalan zehir tacirleri akıl almaz yöntemlerle uyuşturucu sevkiyatı gerçekleştirmeye çalışıyor. Ancak emniyet güçlerinin titiz çalışmalarıyla zehir tacirleri her defasında yakayı ele veriyor.
İFADESİNDE BEN İÇİCİ DEĞİL "YUTUCUYUM" ABİ DEDİ
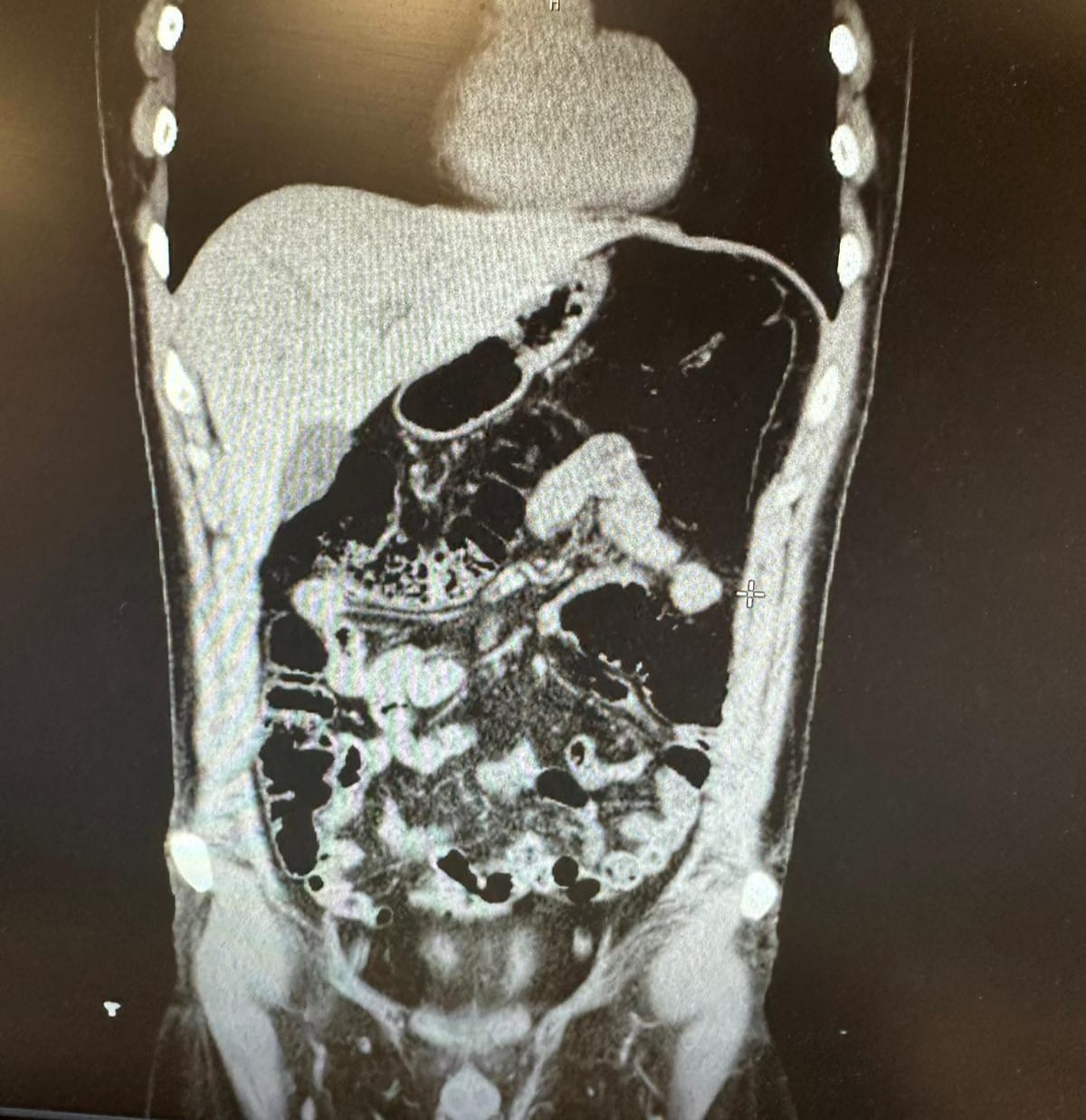
Ekiplerin titizlikle yürüttüğü saha çalışmalarında uyuşturucu kuryeliği yapan İran uyruklu bir şahıs tespit edildi. Polis, şüphelinin Konya’da gizlendiği adresi tespit ederek operasyon düzenledi. Şüpheli ve beraberindeki 4 kişi gözaltına alındı. Şüphelinin uyuşturucu yuttuğunu ifade etmesi üzerine hastaneye kaldırıldı. Şüpheli, 2 gün boyunca polis nezaretinde hastanede gözlem altında tutularak midesinde kapsüller halinde bulunan eroin maddesi doğal yollarla dışarı çıkarıldı.

Şüphelinin ifadesinde para karşılığında uyuşturucu sevkiyatı yapmasının istendiği ve kabul ettiği ortaya çıktı. Şüphelinin İran’da uyuşturucu maddeleri kapsüller halinde yuttuktan sonra yasal yollarla Türkiye’ye giriş yaptığı ve uyuşturucuyu piyasaya sürmek üzere taksiyle Konya’ya geldiği öğrenildi. Ayrıca; şahsın İran’da bilinen bir işadamı olduğu, şeker ve çay ticareti yapmak için sık sık Türkiye’ye giriş çıkış yaptığı anlaşıldı.
5 ŞÜPHELİ TUTUKLANDI
Konya’da konakladıkları evin tespit edilmesiyle 1’i İran uyruklu 5 şüpheli yakayı ele verdi. İran uyruklu Vahıd Farhang Gangachı’nin midesinde 300 gram, gizlendiği adreste ise Narkotik köpeği Alex ile yapılan aramada ise toplam 6 parça halinde 1 kilogram eroin, bir miktar metamfetamin ve bir miktar uyuşturucu hap ele geçirildi.

(İran uyruklu şahıs)
Zehir tacirlerinin uyuşturucu sevkiyatı için kullandığı kurye yöntemi akıllara Kemal Sunal’ın başrolünü oynadığı Köşeyi Dönen Adam filmini getirdi. Filmde ABD’deki amcasından büyük bir miras kalan Adem, birden mahallenin yıldızı olur ama miras bir eşektir. Eşeğin midesinde elmas olduğunu düşünen mahalleli eşeğin başında nöbet tutar.
Vahıd Farhang Gangachı ile birlikte gözaltına alınan ve uyuşturucu sevkiyatını organize ederek yardım ve yataklık yapan Muhammed Pekcan, Ömer Taş, Fatih Savaş ve Mevlüt Ay, Uyuşturucu Madde Ticareti Yapmak ve Uyuşturucu Madde Kullanmak suçlarından gözaltına alındı. Daha önce de birçok suç kaydı bulunan şüpheliler sevk edildiği adli makamlarca tutuklanarak cezaevine gönderildi.
Operasyon polis kamerasına böyle yansıdı


Türkçe karakter kullanılmayan ve büyük harflerle yazılmış yorumlar onaylanmamaktadır.